Restoring your teeth to good

health and function.

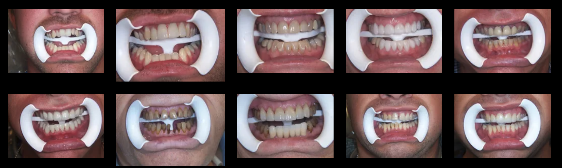
Over time, teeth begin to show wear and tear. Fortunately, there are solutions to this problem. For severely worn or broken teeth, there are crowns, bridges, or veneers. For tooth pain, there is everything from topical medicines to root canal therapy. Whether it's treating one tooth or a complete smile transformation, Dr. Blankenship and his staff are here to help and answer any questions you may have about what it will take for you to achieve excellent dental health. Take a look at some of our before-and-after photos.